Клиника в Новороссийске
ежедневно, с 9:00 до 22:00
Исправление прикуса брекетами
3 222 р./мес.
Цена за все лечение
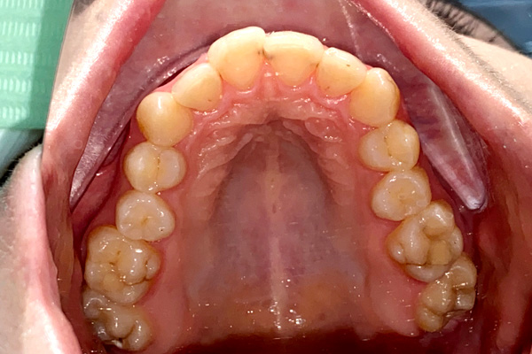
Металлические самолигирующие
брекеты Damon Q*
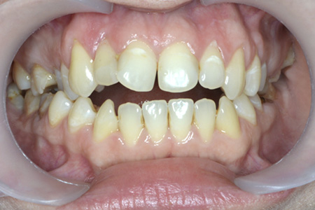
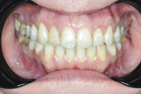
До
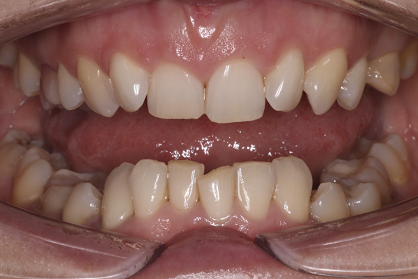
Результат за 12 мес.
До
Истории наших пациентов с брекетами
мария
27 лет, Новороссийск
Длительность лечения:
12 месяцев
ЕВГЕНИЙ
13 лет, Новороссийск
Длительность лечения:
12 месяцев
АННА
38 лет, Белый Яр
Длительность лечения:
18 месяцев
Консультация и диагностика
Составим план лечения
Проведем осмотр и диагностику полости рта
Консультируют ведущие ортодонты с опытом 10+ лет
Рассрочка без %
Этапы и сроки исправления прикуса
Консультация ортодонта
  • Консультируют ведущие ортодонты с опытом более 10 лет
  • При необходимости привлекаются смежные специалисты
  • Получаете расчет стоимости в нескольких вариантах.
30-40 минут
1 визит
1
Диагностика.
Ортодонтический расчет
  • Делаем несколько снимков (КТ с суставом, ТРГ и ОПТГ)
Крайне важную роль в лечении играет ортодонтический расчет - заранее просчитанная модель движения зубов для достижения результата.
  • Снимаются слепки
  • Проводим ортодонтический расчет
1,5-2 часа
1 визит
2
Установка брекет-системы
  • Проводится санация полости рта
  • В зависимости от показаний и тактики лечения брекеты ставят сначала на верхнюю челюсть, а потом переходят к нижней
  • Выдаются рекомендации врача по уходу и чистке
Используем оригинальные и надежные брекет-системы
Устанавливаем оригинальные, гипоаллергенные системы и комплектующие от официальных представителей. Брекеты приходят в индивидуальной упаковке и вскрываются при пациенте.
1 визит
3
1 час
Регулярные визиты для коррекции (активации)
  • На каждом приеме ортодонт оценивает движение зубов и корректирует брекет-систему
  • Зуб двигается поэтапно, по 0.5-0.75 мм в месяц
  • Важно дисциплинированно приходить на приемы к врачу, т.к без коррекции (активации) не будет исправления прикуса
30 минут
15-24 месяца
4
У нас все визиты входят в стоимость
В наших клиниках вы не платите за каждый прием. Все ежемесячные визиты включены в стоимость и зафиксированы в договоре!
Снятие брекетов
  • При достижении запланированных результатов лечения брекеты снимаются
  • Проводится чистка и полировка
  • После снятия брекет-системы наступает ретенционный период
1 визит
1 час
Выдаем пациентам капы или ретейнеры
Для закрепления результата пациенту устанавливаются ретейнеры (специальная дуга), а также изготавливаются специальные ретенционные капы, сделанные по индивидуальным слепкам (не входит в стоимость)
5
Только положительные отзывы
Нас рекомендуют родным и друзьям
Тюмень, 34 года
Анастасия
Тюмень, 20 лет
Елена
Тюмень, 17 лет
Виолетта
Наша клиника
Которые в курсе всех передовых методик лечения!
кандидата медицинских наук
3
Средний стаж работы (лет)
10+
довольных пациентов
5000+
Батыршин
Евгений Маратович
  • Исправление прикуса взрослым и детям
  • Лечение на брекет-системах
  • Лечение на элайнерах
Стоматолог-хирург
Стаж 7 лет.
Дерманская
Марина Александровна
  • Исправление прикуса взрослым и детям
  • Лечение на брекет-системах
  • Лечение на элайнерах
Стоматолог-ортодонт.
Стаж 10 лет.
Тарасова
Ксения Брониславовна
  • Ортогнатические операции
  • Орто-импланты
  • Ортопедическое исправление прикуса
Стоматолог-ортодонт
Стаж 14 лет.
Запишитесь на консультацию к ведущим ортодонтам Новороссийска
Уже исправили прикус 5342 довольных пациента!
Проведем осмотр и диагностику полости рта
Составим план лечения
Рассрочка без %
Цены на исправление прикуса брекетами
Металлические брекеты Damon Q
3 222 р./мес.
Акция!
  • Брекет-система
  • Установка (активация)
  • 12 визитов для коррекции
  • Снятие брекетов
Спецпредложение до !
На срок до 24 месяцев
Без первого взноса
Рассрочка на любую сумму
Получите красивые зубы сразу, а платите - потом!
рассрочка
0%
Консультация ортодонта - первый шаг к красивой улыбке
Уже исправили прикус 5342 довольных пациента!
Проведем осмотр и диагностику полости рта
Составим план лечения
Рассрочка без %
Мы находимся
г. Новороссийск, ул. Пионерская, 23А
Ежедневно, с 9:00 до 22:00